審美歯科症例 aesthetic-case
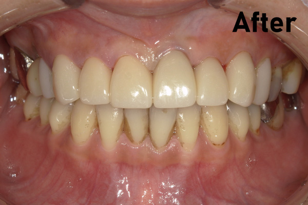
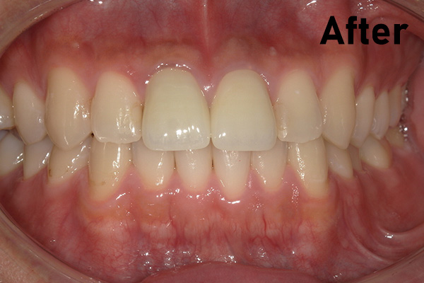
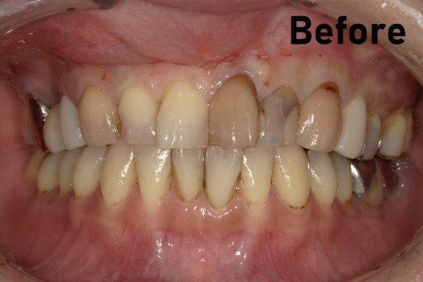
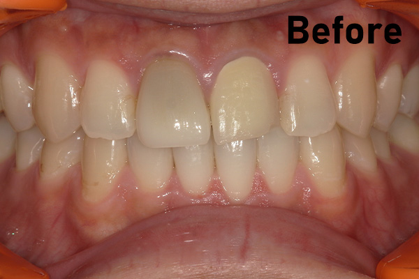
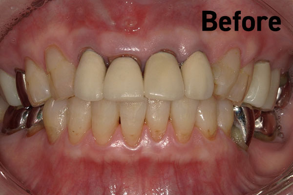
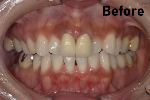
症例1
50代 女性
前歯の見た目が気になるため改善を希望
| 施術名 | 審美歯科治療 |
|---|---|
| 施術内容 | ジルコニアプレーン4本 |
| 施術のリスク | 被せ物が欠けたり、外れたりする可能性がある |
| 施術の価格 | 264,000円 |
症例2
20代 男性
前歯の被せ物が古くなったので、やり直したい
| 施術名 | 審美歯科治療 |
|---|---|
| 施術内容 | ジルコニアグラデーション2本 |
| 施術のリスク | 被せ物が欠けたり、外れたりする可能性がある |
| 施術の価格 | 220,000円 |
| 治療期間 | 1ヶ月 |
症例3
50代 女性
昔から前歯の見た目が気になる
| 施術名 | 審美歯科治療 |
|---|---|
| 施術内容 | ジルコニアグラデーション6本 |
| 施術のリスク | 被せ物が欠けたり、外れたりする可能性がある |
| 施術の価格 | 660,000円 |
| 治療期間 | 1ヶ月 |
症例4
50代 女性
前歯の見た目が気になる
| 施術名 | 審美歯科治療 |
|---|---|
| 施術内容 | ジルコニアグラデーション2本 |
| 施術のリスク | 被せ物が欠けたり、外れたりする可能性がある |
| 施術の価格 | 220,000円 |
| 治療期間 | 1ヶ月 |