インプラント症例 implant-case
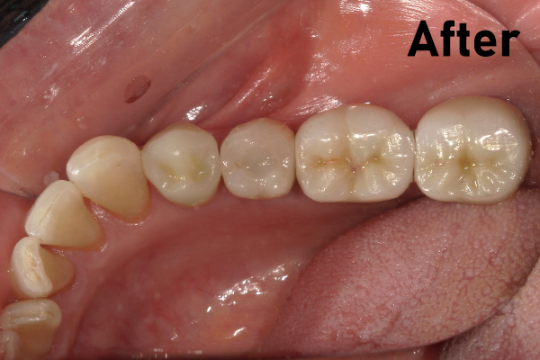
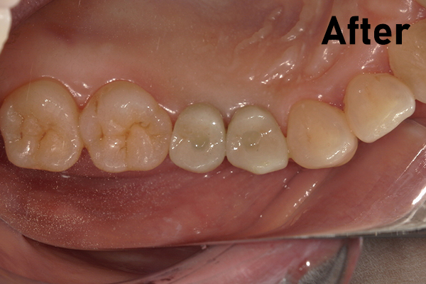
症例1
40代女性
以前、歯を歯周病で抜いたが噛めないのでインプラントを入れたい
| 施術名 | インプラント治療 |
|---|---|
| 施術内容 | インプラント1本 |
| 施術のリスク | 被せ物が欠けたりインプラントが歯周病になる可能性があります(ごくわずか) |
| 施術の価格 | 495,000円 |
| 治療期間 | 3ヶ月 |
症例2
40代女性
根っこが折れて抜歯したのでインプラントを希望
| 施術名 | インプラント治療 |
|---|---|
| 施術内容 | インプラント1本 |
| 施術のリスク | 被せ物が欠けたりインプラントが歯周病になる可能性があります(ごくわずか) |
| 施術の価格 | 495,000円 |
| 治療期間 | 3ヶ月 |
症例3
70代男性
歯がないのでインプラントを入れたい
| 施術名 | インプラント治療 |
|---|---|
| 施術内容 | インプラント1本 |
| 施術のリスク | 被せ物が欠けたりインプラントが歯周病になる可能性があります(ごくわずか) |
| 施術の価格 | 495,000円 |
| 治療期間 | 3ヶ月 |
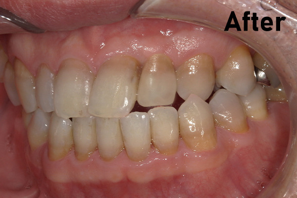
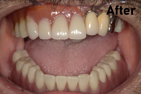
症例4
70代男性
下の入れ歯が合わないのでインプラントをしたい
| 施術名 | インプラント治療 |
|---|---|
| 施術内容 | インプラント4本、下顎インプラントオーバーデンチャー |
| 施術のリスク | 被せ物が欠けたりインプラントが歯周病になる可能性があります(ごくわずか) |
| 施術の価格 | 1,800,000円 |
| 治療期間 | 4ヶ月 |
症例5
70代女性
歯を抜いたのでインプラント治療を希望
| 施術名 | インプラント治療 |
|---|---|
| 施術内容 | インプラント1本 |
| 施術のリスク | 被せ物が欠けたりインプラントが歯周病になる可能性があります(ごくわずか) |
| 施術の価格 | 495,000円 |
| 治療期間 | 3ヶ月 |
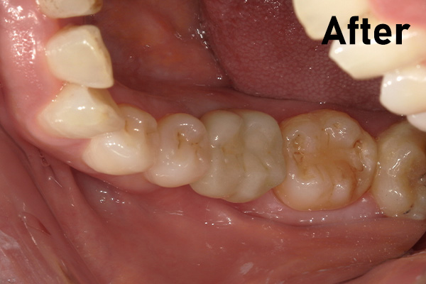
症例6
40代女性
虫歯で歯を抜いたのでインプラントにしたい
| 施術名 | インプラント治療 |
|---|---|
| 施術内容 | インプラント2本 |
| 施術のリスク | 被せ物が欠けたりインプラントが歯周病になる可能性があります(ごくわずか) |
| 施術の価格 | 990,000円 |
| 治療期間 | 3ヶ月 |
症例7
40代女性
歯周病で歯を抜いたのでインプラントにしたい
| 施術名 | インプラント治療 |
|---|---|
| 施術内容 | インプラント1本 |
| 施術のリスク | 被せ物が欠けたりインプラントが歯周病になる可能性があります(ごくわずか) |
| 施術の価格 | 495,000円 |
| 治療期間 | 3ヶ月 |
症例8
50代男性
ずっと入れ歯を使っていたが、インプラントを入れたい
| 施術名 | インプラント治療 |
|---|---|
| 施術内容 | インプラント1本 |
| 施術のリスク | 被せ物が欠けたりインプラントが歯周病になる可能性があります(ごくわずか) |
| 施術の価格 | 495,000円 |
| 治療期間 | 3ヶ月 |