ホワイトニング症例 whitening-case
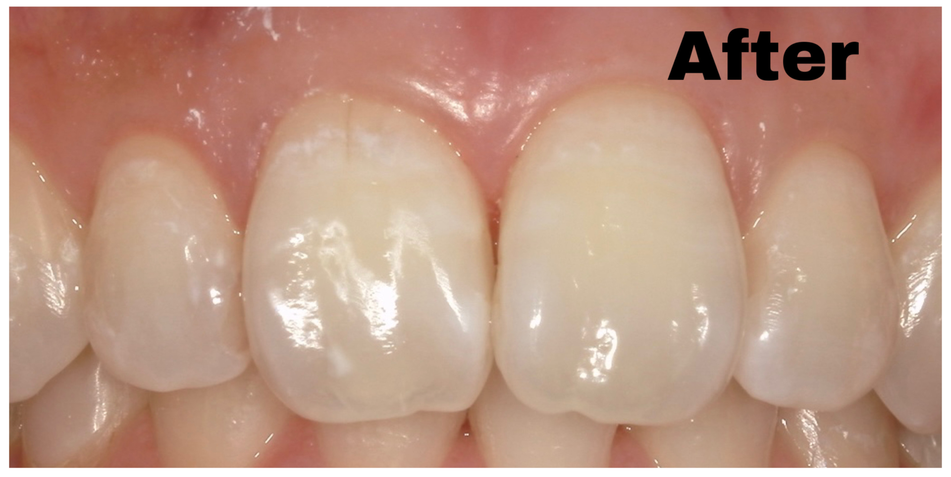
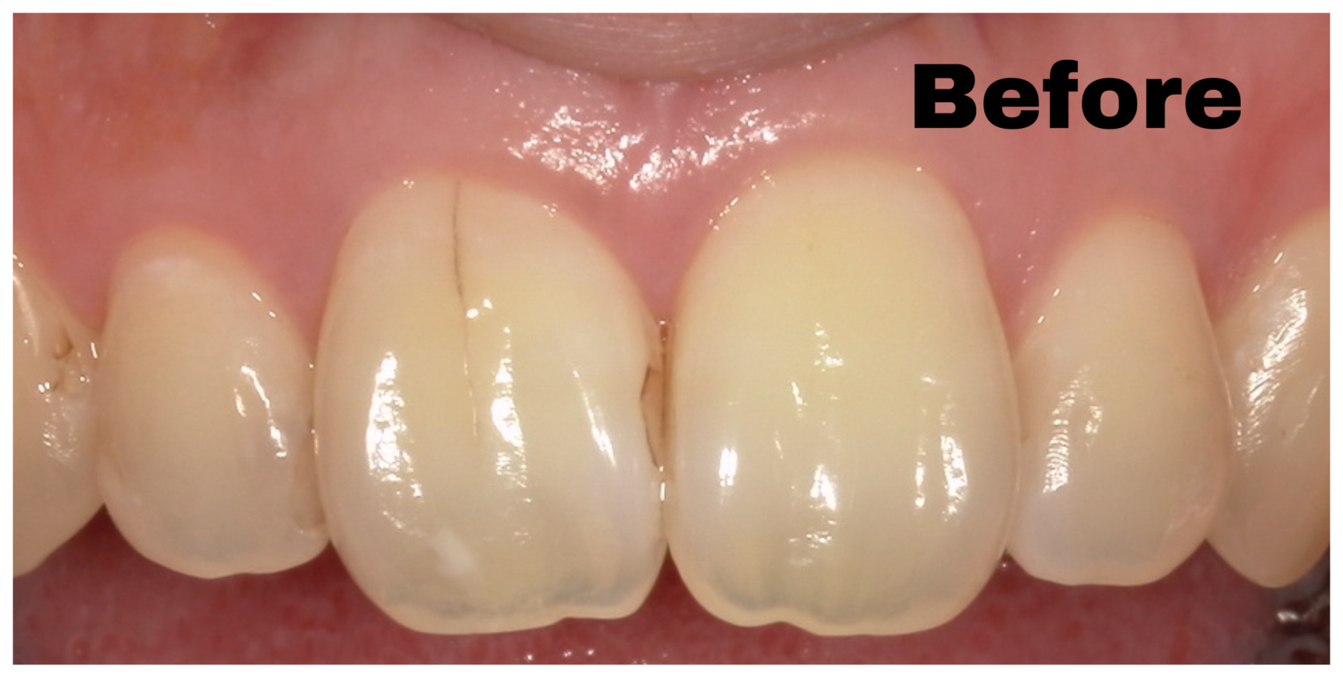
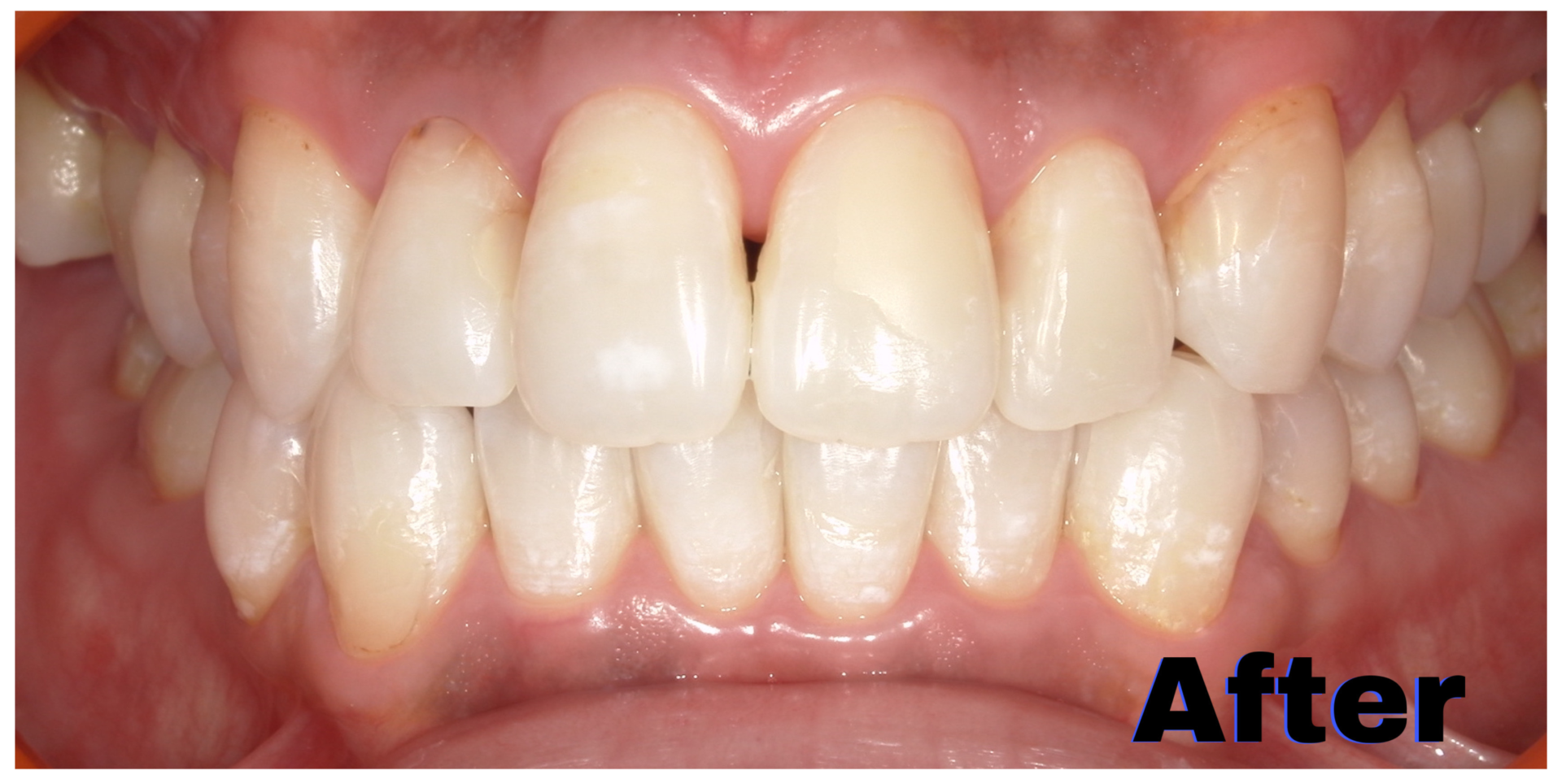
症例1
30代女性
歯の色が気になる
| 施術名 | ホワイトニング処置 |
|---|---|
| 施術内容 | デュアルホワイトニング |
| 施術のリスク | 一時的に知覚過敏の症状が出ることがありますが、時間の経過によって症状は消失します。 |
| 施術の価格 | 50,000円 |
症例2
40代女性
ホワイトニング希望
| 施術名 | ホワイトニング処置 |
|---|---|
| 施術内容 | ホームホワイトニング |
| 施術のリスク | 一時的に知覚過敏の症状が出ることがありますが、時間の経過によって症状は消失します。 |
| 施術の価格 | 27,500円 |
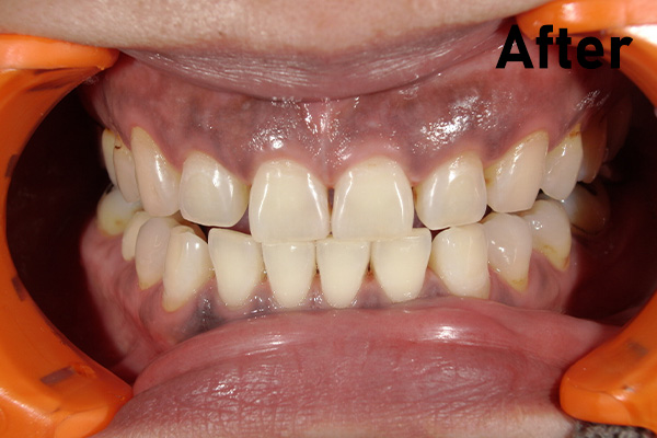
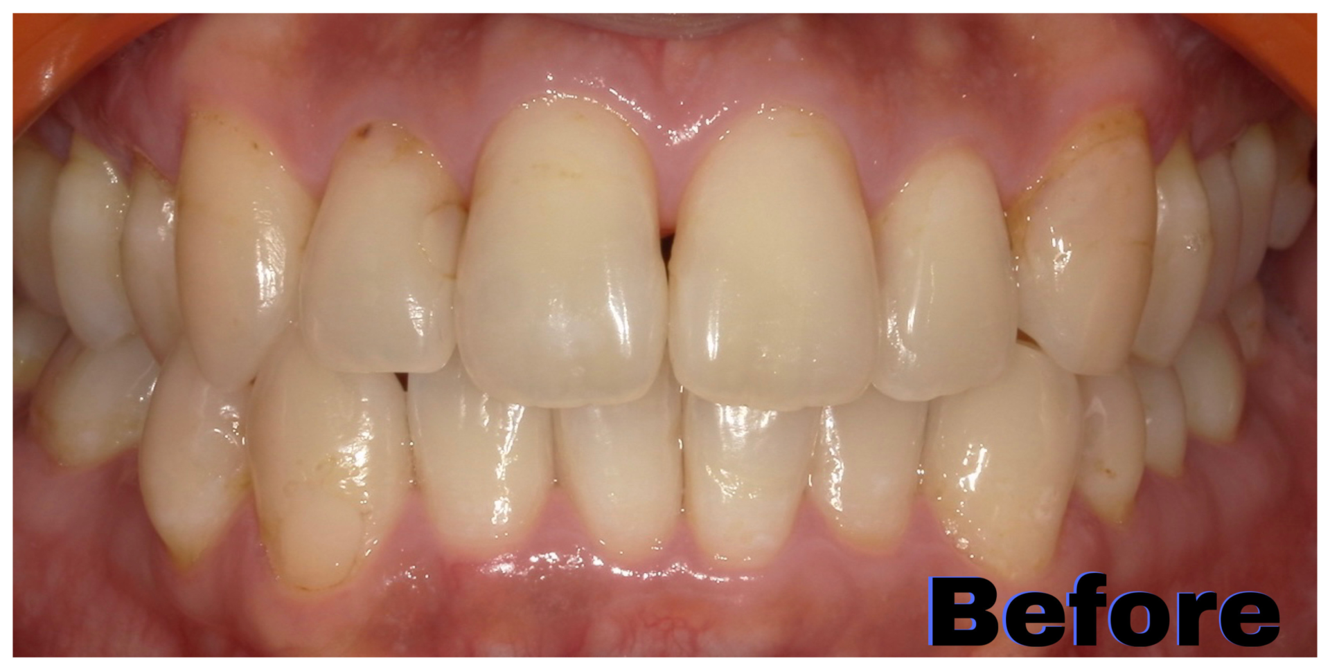
症例3
30代男性
歯を白くしたい
| 施術名 | ホワイトニング処置 |
|---|---|
| 施術内容 | デュアルホワイトニング |
| 施術のリスク | 一時的に知覚過敏の症状が出ることがありますが、時間の経過によって症状は消失します。 |
| 施術の価格 | 50,000円 |
症例4
50代女性
歯を白くしたい
| 施術名 | ホワイトニング処置 |
|---|---|
| 施術内容 | オフィスホワイトニング |
| 施術のリスク | 一時的に知覚過敏の症状が出ることがありますが、時間の経過によって症状は消失します。 |
| 施術の価格 | 27,500円 |